Topik Berita : viral
Wanita di Australia Alami Infeksi Otak dan Nyaris Meninggal Gara-gara Pakai Cotton Bud
News
- 24 Desember 2020 15:01
Terjatuh saat Bermain, Leher Gadis Ini Bengkok 90 Derajat
News
- 24 Desember 2020 13:50
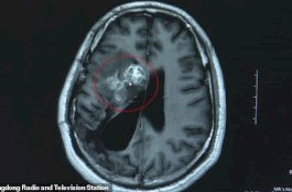
Otak Pria Ini Digerogoti Cacing Pita 12 Cm, Awalnya Dikira Tumor Ganas
News
- 24 Desember 2020 12:03
Kisah Pria yang Dituduh Maling Gara-gara Alat Vitalnya Terlalu Besar
News
- 24 Desember 2020 10:22
Pria Ini Penggal dan Makan Otak Tetangganya yang Suka Ngomong Bahasa Inggris
News
- 23 Desember 2020 16:43
Nyaris Tewas di Mesin Penggiling Jagung, Untung Petani Ini Potong Kakinya Sendiri
News
- 23 Desember 2020 15:05
Bu Guru Ini Bangga Dihamili Muridnya yang Berusia 13 Tahun
News
- 23 Desember 2020 14:04
Pria Ini Bicara dengan Benda Mati Demi Bertahan Hidup saat Terdampar di Laut
News
- 22 Desember 2020 23:04
Muntahan Paus Ditemukan Nelayan, Harganya Tembus Ratusan Juta
News
- 21 Desember 2020 23:58
Mayat Pria Ditemukan Setelah Mengapung 20 Tahun di Lautan, Begini Kondisinya
News
- 21 Desember 2020 23:06
Suami Ceraikan Istri: Dia Berhubungan Seks dengan Putraku
News
- 21 Desember 2020 19:03
Demi Buktikan Cinta Kepada Pacar, Seorang Ibu Siksa dan Cabut Kuku Anaknya Sendiri
News
- 21 Desember 2020 18:02
Topik Populer
