RAKYATKU.COM - Sebuah kasus medis terjadi pada pria berusia 66 tahun yang datang ke rumah sakit dengan keluhan batuk dan nyeri dada. Tak lama kemudian, dokter menyadari organ dalam pasien berada di sisi tubuh yang salah. Misalnya jantungnya di kanan, hati di kiri, dan sebagainya.
Kondisi ini sebenarnya memiliki nama, situs inversus totalis dan itu tidak mengubah kehidupan penderitanya, dikutip dari Science Alert, Jumat (21/6/2019).
Sebenarnya, sebelum ada alat pemindaian medis modern, diperkirakan sebagian besar orang yang menjalani kehidupan ini tanpa pernah didiagnosis.
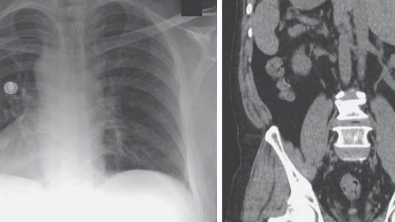
Dokternya menyebutkan bahwa pasien baru saja berimigrasi ke AS setelah tinggal di kamp pengungsi selama 20 tahun. Di antara temuan aneh yang ditunjukkan oleh rontgen dada adalah dextrocardia (di mana puncak jantung ada di kanan, bukan di kiri) dan "transposisi gambar cermin" pada organ perut.
Gejala pria itu termasuk nyeri dada, batuk, dan rasa sakit di sisi kiri perut, menurut laporan medis. Untungnya, itu ternyata hanya infeksi saluran pernapasan atas; setelah dirawat karena sakit dengan obat antiinflamasi, pasien sembuh beberapa hari kemudian.
Situs inversus adalah kondisi langka, tetapi tidak pernah terdengar: Donny Osmond adalah salah satu kasus yang lebih terkenal.
Faktanya, situs inversus totalis, tempat semua organ perut dan jantung diputar, adalah tipe yang paling umum dan menyerang sekitar 1 dari 10.000 orang.
Asalkan organ masih di tempat yang tepat, relatif berbicara, masalah kesehatan utama dapat dihindari bahkan ketika mereka dicerminkan. Orang dengan kondisi ini kadang - kadang memakai gelang yang menyatakannya, kalau-kalau dokter mencoba operasi darurat di sisi tubuh yang salah.
Kebanyakan komplikasi terjadi di sekitar jantung: dalam kasus situs inversus dan dextrocardia, arteri utama dapat berakhir berbaring paralel daripada berselang-seling, yang dapat membuat operasi dan transplantasi jantung jauh lebih sulit.
Kondisi situs inversus ("lokasi" dan "berlawanan" dalam bahasa Latin) pertama kali dinamai oleh Matthew Baillie pada tahun 1788 dan terus membuat penasaran para dokter dan ilmuwan saat ini.
