RAKYATKU.COM - Google dilaporkan sedang mengerjakan teknologi kecerdasan buatan (AI) untuk meningkatkan kehidupan.
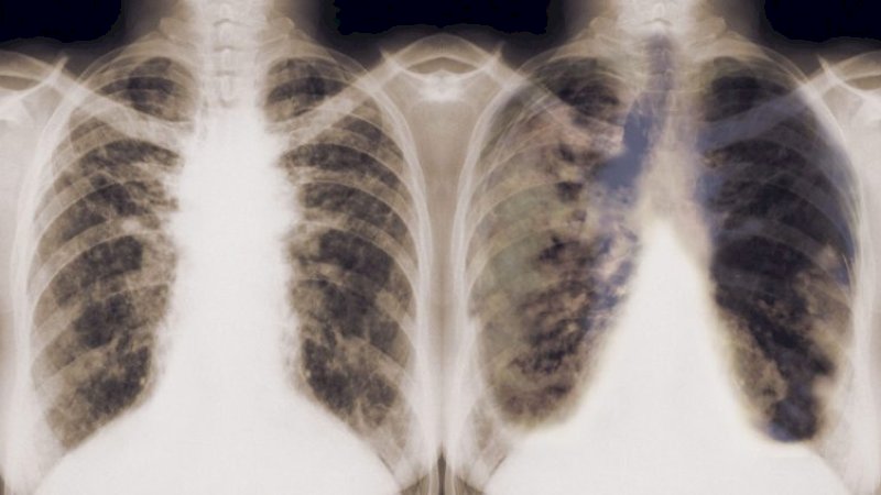
Perusahaan ini bermitra dengan para profesional medis untuk mengembangkan sebuah algoritma yang dapat mendeteksi kanker paru-paru.
Dalam sebuah laporan yang diterbitkan dalam jurnal Nature Medicine, peneliti mengungkapkan bahwa AI bahkan lebih akurat daripada ahli radiologi terlatih dalam mengetahui tanda-tanda kanker dalam pemindaian medis.
Dalam hal ini, otak komputer dilatih menggunakan pemindaian dari skrining kanker paru-paru masa lalu. Kemudian itu ditugaskan untuk menilai lebih dari 6.700 scan skrining kanker untuk melihat seberapa akurat itu dalam mendeteksi kanker yang sudah diketahui oleh para dokter.
Rupanya, hasil menunjukkan bahwa algoritma itu mencapai akurasi 94,4%.
Algoritma ini kemudian diadu dengan otak manusia dari enam ahli radiologi untuk melihat seberapa terampil komputer dan manusia dalam mendeteksi kanker, dalam slide yang belum pernah mereka lihat sebelumnya.
Dalam penyaringan set data, manusia diberikan informasi tambahan dalam bentuk scan tomografi, dan hasilnya menunjukkan bahwa AI memiliki kinerja yang sama dengan para profesional.
Namun, ketika data tomografi tidak diberikan pada ahli manusia, AI dengan mudah mengalahkan pesaing manusia mereka.
Ini mungkin terdengar seperti berita buruk bagi dokter manusia, tetapi intinya teknologi ini bukan untuk menggantikan profesional medis dengan komputer ultra-pintar.
Dengan menggabungkan pengalaman seorang dokter manusia dengan otak algoritma AI, maka diharap dapat meminimalkan kesalahan dalam diagnosis.
